Full Mouth Rehabilitation : Margo
Description
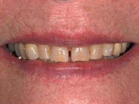
Situation: Margo had reached an age where her teeth were starting to look worn and discolored, yet she wanted them to last the rest of her life. Her bite had closed down over time, causing some functional situations and occasional headaches, which she attributed to stress. Also, the loss of vertical had caused unwanted wrinkles around the lower third of her face. Margo wouldn’t mind knocking off a few years of age in her face. In addition, Margo had a large space between her two top centrals. The space was a family attribute, and she felt it was important to keep the attribute and “look like Margo.” Solution: Full Mouth Reconstruction. First, we had to determine a correct vertical dimension. We did this by using a neuromuscular technique. By opening Margo’s bite, the muscles and soft tissue around her lips softened and relaxed. Recontouring of her gum placed the tops of her teeth on a balanced plane to create an attractive smile line. Care was taken to close the space between Margo’s centrals, but leave just enough to keep the family attribute. All teeth were treated as conservatively as possible utilizing bonded porcelain in the form of onlays, veneers, and crowns for an aesthetic, but strong result. Not only will Margo keep her teeth for a lifetime, but she looks ten years younger than her true age. Only her dentist knows for sure!






